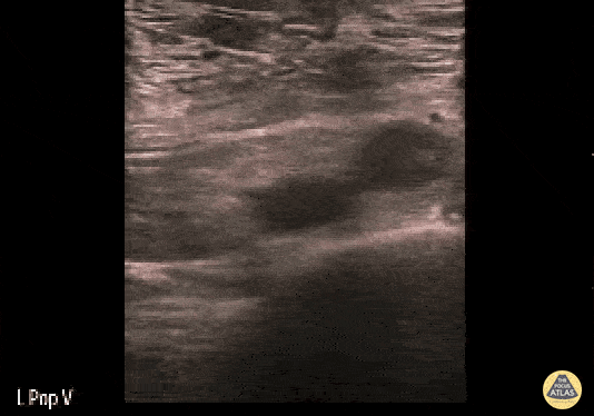
Vascular - Occlusive DVT of the Left Popliteal Vein
Caption
This clip demonstrates a non-compressible left popliteal vein consistent with deep venous thrombosis. Contributed by: Brittany Garza, DO; Saleem Nasseh, MD; Sadie Ellerson, MS4
This clip demonstrates a non-compressible left popliteal vein consistent with deep venous thrombosis. Contributed by: Brittany Garza, DO; Saleem Nasseh, MD; Sadie Ellerson, MS4