Procedures - Central Line Placement Confirmation

← Back to List

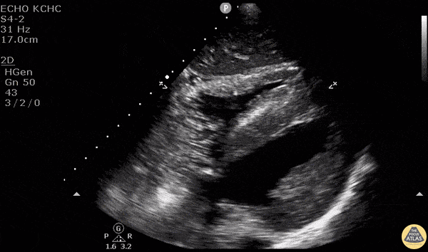
Procedures - Central Line Placement Confirmation

Caption

A central venous catheter was placed in the right internal jugular under ultrasound guidance and sub-xiphoid view was obtained. Saline was rapidly flushed through the brown port and turbulent saline can be seen traveling through the right side of the heart. - Dr. Matthew Riscinti and Dr. Isaac Gordon - Kings County Emergency Medicine

Source

https://www.thepocusatlas.com/procedures


Metadata