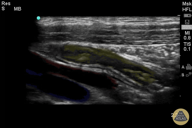
Colorized Appendicitis - Colorized Appendix with Landmarks (Longitudinal)

← Back to List

Colorized Appendicitis - Colorized Appendix with Landmarks (Longitudinal)

Caption

Yellow = Appendix Red = Iliac Artery Blue = Iliac Vein Images provided by Sathya Subramaniam - Children’s Hospital of Philadelphia, edited by Matthew Riscinti - Kings County Emergency Medicine

Source

https://www.thepocusatlas.com/colorized-appendicitis


Metadata