Colorized Appendicitis - 2D Appendix Landmarks

← Back to List

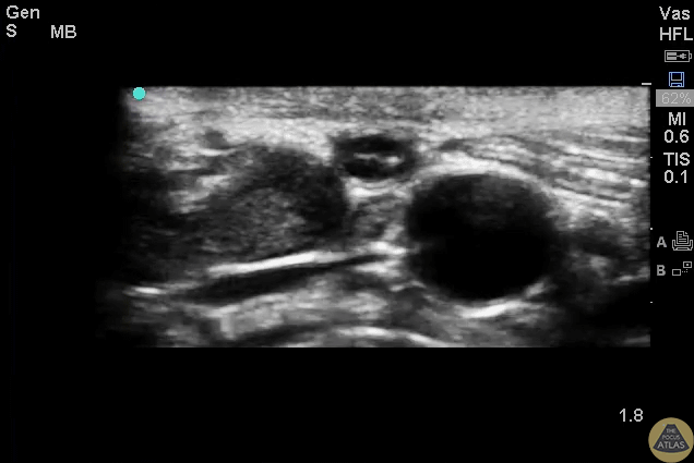
Colorized Appendicitis - 2D Appendix Landmarks

Caption

Normal appendix with landmarks including the psoas, ilac artery/vein, and the appendix. Images provided by Sathya Subramaniam - Children’s Hospital of Philadelphia, edited by Matthew Riscinti - Kings County Emergency Medicine

Source

https://www.thepocusatlas.com/colorized-appendicitis


Metadata