Bowel-GI - Gastric Feeding Tube
Caption
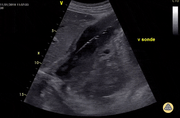
Control of gastric feeding tube. Case of gastric tube placed in the stomach. You might consider the use of color doppler to see flow pattern in the lumen. Dr. Birkelund
Control of gastric feeding tube. Case of gastric tube placed in the stomach. You might consider the use of color doppler to see flow pattern in the lumen. Dr. Birkelund