Trauma - Normal RUQ Evaluation

← Back to List

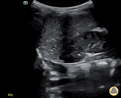
Trauma - Normal RUQ Evaluation

Caption

Normal RUQ on Efast of a 21-month-old male. Contributor: Jaron Smith, MD, Phoenix Children's Hospital

Source

https://www.thepocusatlas.com/trauma


Metadata