Trauma - Normal subxiphoid evaluation
Caption
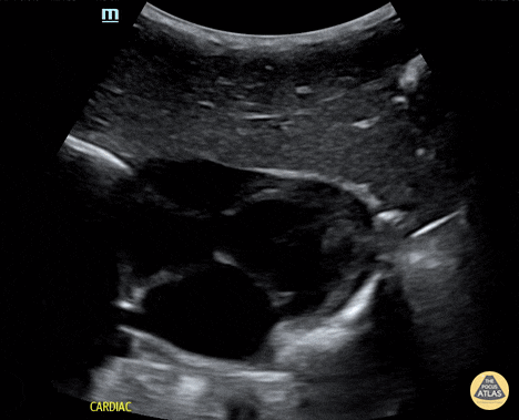
Normal subxiphoid view on Efast of a 21-month-old patient. Contributor: Jaron Smith, MD, Phoenix Children's Hospital
Normal subxiphoid view on Efast of a 21-month-old patient. Contributor: Jaron Smith, MD, Phoenix Children's Hospital