Trauma - Foreign body: wood piece

← Back to List

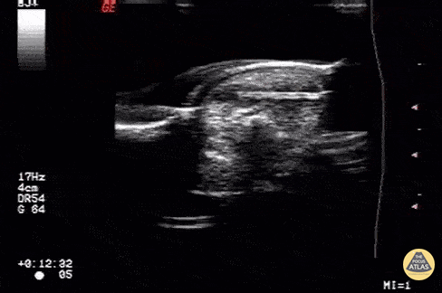
Trauma - Foreign body: wood piece

Caption

Alligator forceps being used to removed a retained wood piece within a fingertip Image courtesy of Robert Jones DO, FACEP @RJonesSonoEM Director, Emergency Ultrasound; MetroHealth Medical Center; Professor, Case Western Reserve Medical School, Cleveland, OH View his original post here

Source

https://www.thepocusatlas.com/trauma


Metadata