Trauma - Subtle +RUQ FAST from GSW

← Back to List

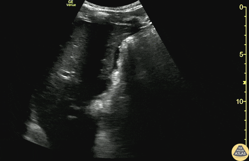
Trauma - Subtle +RUQ FAST from GSW

Caption

20s M presented as a walk in after sustaining a GSW to the hip. He was initially hemodynamically unstable, however responded well to transfusion of blood products and vitals normalized. FAST exam of the RUQ is shown here, with a trace amount of free fluid seen along the liver tip. FAST was also positive in the LUQ and pelvic views. Plain films demonstrated a retained missile in the abdomen. As he was hemodynamically stable, CT of the abdomen and pelvis was obtained, showing hemoperitoneum and free air concerning for bowel and vascular injury. The patient was taken emergently to the OR, where exploratory laparotomy demonstrated a pelvic hematoma and hemoperitoneum from an iliac vein injury, as well as multiple areas of small bowel injury. His injuries were repaired, he recovered well, and was discharged within days of his injury. Dr. Ian Eisenhauer, PGY1 Denver Health Residency in Emergency Medicine

Source

https://www.thepocusatlas.com/trauma


Metadata