Trauma - Pelvic +FAST from Splenic Injury

← Back to List

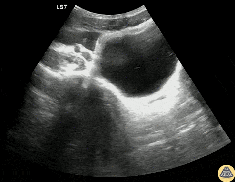
Trauma - Pelvic +FAST from Splenic Injury

Caption

A teenage male patient presented to the ED after a helmeted mountain bike crash, and due to mechanism, underwent a bedside FAST exam, which was positive in the RUQ as well as suprapubic views. CT demonstrated a grade 4 spleen laceration as well as multiple buckle rib fractures, and he was admitted for observation. Dr. Gabe Siegel, PGY-2 and Dr. Michael Kidon, PGY-4 Denver Health Residency in Emergency Medicine

Source

https://www.thepocusatlas.com/trauma


Metadata