Trauma - Pelvic +FAST from Spleen Lac

← Back to List

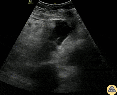
Trauma - Pelvic +FAST from Spleen Lac

Caption

20s F presented with presyncopal episode after standing electric scooter crash. She had been evaluated at an urgent care where she had dental injuries identified, but was initially hemodynamically stable. She arrived to the ED tachycardic and hypotensive, and FAST exam was positive in the pelvic view as shown here in transverse and sagittal orientations. She was resuscitated with massive transfusion protocol and responded well. CT scanning showed a grade 2 splenic laceration. The patient was admitted for further observation and serial CBC checks. Dr. Larry Benjey, PGY-3 Denver Health Residency in Emergency Medicine

Source

https://www.thepocusatlas.com/trauma


Metadata