Trauma - Subtle RUQ +FAST

← Back to List

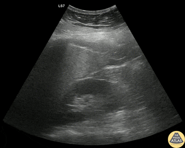
Trauma - Subtle RUQ +FAST

Caption

30s F presented with worsening abdominal pain in the setting of a known ectopic pregnancy. FAST exam was very subtly positive in the RUQ, with more free fluid seen in the pelvic/suprapubic view. This clip shows the RUQ view, and a trace amount of free fluid is seen at the liver tip, highlighting the importance of complete visualization of this area when viewing the RUQ. This patient remained hemodynamically stable, and so was managed expectantly rather than with surgical exploration. Dr. Lindsay Howe, PGY-3 Denver Health Residency in Emergency Medicine

Source

https://www.thepocusatlas.com/trauma


Metadata