Trauma - +FAST in Morrison's Pouch from Splenic Injury

← Back to List

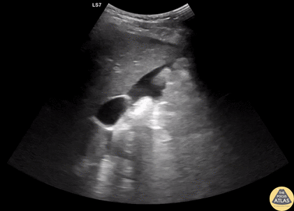
Trauma - +FAST in Morrison's Pouch from Splenic Injury

Caption

20s M presented with abdominal and back pain several hours after a fall off a ladder, and on FAST exam, had free fluid seen here in Morrison’s pouch, as well as a large amount of free fluid seen in the pelvis/lower abdomen. He was slightly tachycardic but normotensive, so underwent CT of the abdomen/pelvis, which demonstrated a significant spleen injury which was managed by IR embolization. Dr. Greg Wiener, PGY3 Denver Health Residency in Emergency Medicine

Source

https://www.thepocusatlas.com/trauma


Metadata