Trauma - Subxiphoid

← Back to List

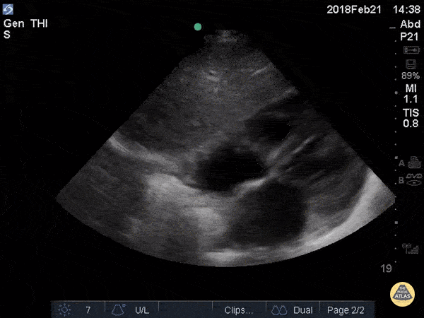
Trauma - Subxiphoid

Caption

The most superficial structure we see is the liver. Immediately deep to that we see the heart separated from the liver by the diaphragm. Closest to the liver is the right atrium, tricuspid valve, and right ventricle. Deeper to that, we see the left atrium, mitral valve, and left ventricle. There is no anechoic fluid between the bright hyperechoic pericardium and the myocardium, indicating absence of pericardial effusion. Hannah Kopinksi and Dr. Lindsay Davis - NYU Emergency Medicine

Source

https://www.thepocusatlas.com/trauma


Metadata