Trauma - Traumatic Pneumoperitoneum (2/2)
Caption
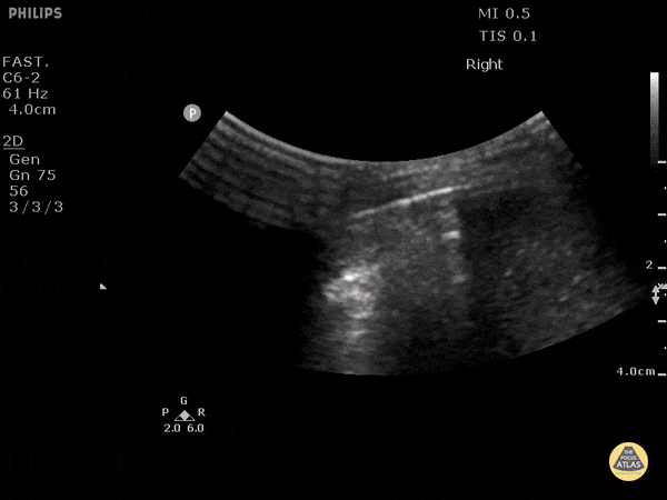
8 year old boy after pushbike handles went into abdomen. Erect CXR suggested small pneumoperitoneum. This image shows a lung curtain across the liver. Dr. Justin Bowra
8 year old boy after pushbike handles went into abdomen. Erect CXR suggested small pneumoperitoneum. This image shows a lung curtain across the liver. Dr. Justin Bowra