Trauma - Traumatic Pneumoperitoneum (1/2)

← Back to List

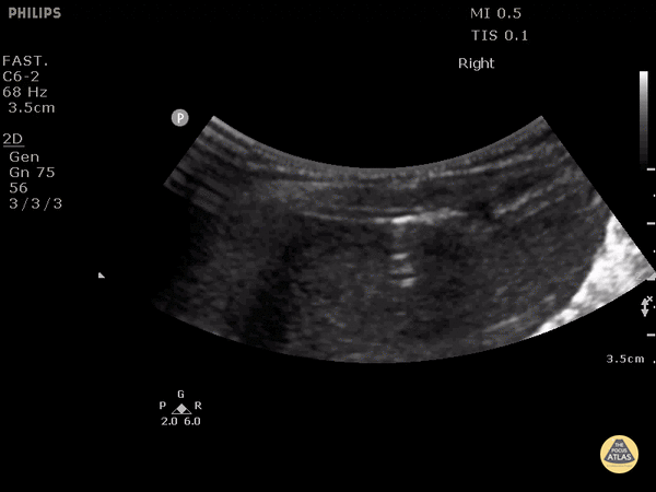
Trauma - Traumatic Pneumoperitoneum (1/2)

Caption

8 year old boy after pushbike handles went into abdomen. Erect CXR suggested small pneumoperitoneum. Initial POCUS in supine position showed normal RUQ, however this clip in left lateral position shows a small 'bubble' of air between liver and abdominal wall. Dr. Justin Bowra

Source

https://www.thepocusatlas.com/trauma


Metadata