Trauma - Positive FAST - Pelvis - Sagittal
Caption
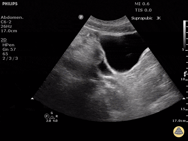
Blunt trauma patient with POSITIVE FAST scan. Free fluid can be seen posterior to the dome of bladder in this sagittal view. Dr. Justin Bowra
Blunt trauma patient with POSITIVE FAST scan. Free fluid can be seen posterior to the dome of bladder in this sagittal view. Dr. Justin Bowra