Trauma - Ruptured Hepatic Hydatid Cyst

← Back to List

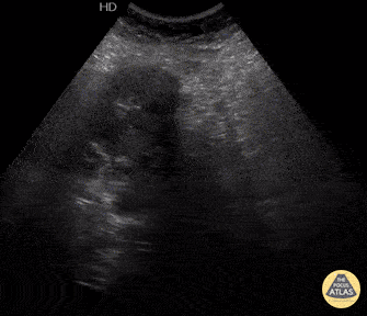
Trauma - Ruptured Hepatic Hydatid Cyst

Caption

52-yo female presents to ED hypotensive with diffuse urticaria after blunt trauma to abdomen from a fall. FAST exam revealed a small amount of free fluid in RUQ and an abdominal mass. Diagnosis later confirmed to be a ruptured hepatic hydatid cyst. Image courtesy of Robert Jones DO, FACEP @RJonesSonoEM Director, Emergency Ultrasound; MetroHealth Medical Center; Professor, Case Western Reserve Medical School, Cleveland, OH View his original post here

Source

https://www.thepocusatlas.com/trauma


Metadata