Trauma - Free Fluid within Abdomen

← Back to List

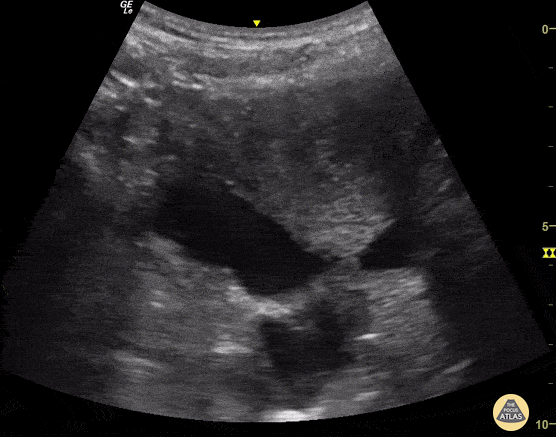
Trauma - Free Fluid within Abdomen

Caption

A 35-year-old woman presented to the ED after experiencing blunt abdominal trauma. She was hemodynamically unable. E-FAST Exam performed at bedside was notable for free intra-abdominal fluid (viewed here from suprapubic region). This rapid diagnosis enabled prompt disposition to the operating room. Josiane Almeida, Emergency Physician; Sao Paulo- Brazil

Source

https://www.thepocusatlas.com/trauma


Metadata