Trauma - Ruptured Viscus From Blunt Trauma

← Back to List

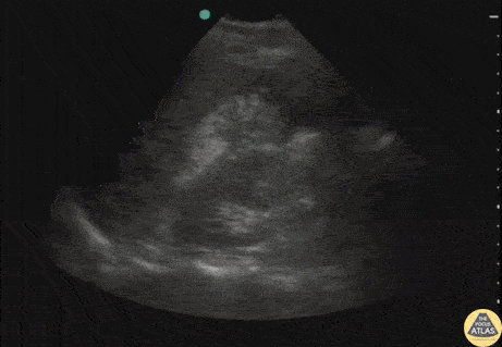
Trauma - Ruptured Viscus From Blunt Trauma

Caption

Pt struck by car while riding bike. Perihepatic view on FAST exam revealed a perforated viscus (gastric rupture). Note the free air within the fluid. Image courtesy of Robert Jones DO, FACEP @RJonesSonoEM Director, Emergency Ultrasound; MetroHealth Medical Center; Professor, Case Western Reserve Medical School, Cleveland, OH View his original post here.

Source

https://www.thepocusatlas.com/trauma


Metadata