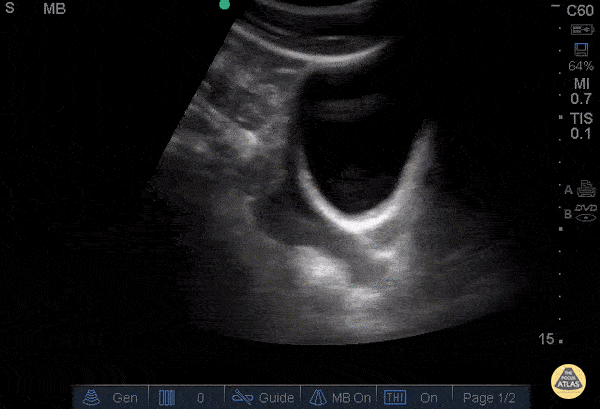
Trauma - Positive FAST - Pelvis

← Back to List

Trauma - Positive FAST - Pelvis

Caption

30 y/o pedestrian struck by car, hemodynamically unstable, tachycardic. FAST performed after primary survey revealed free fluid in all four abdominal views of the FAST exam. Free fluid seen superior and posterior to the bladder in this sagittal view. Dr. Catharine Bon - Kings County Emergency Medicine

Source

https://www.thepocusatlas.com/trauma


Metadata