Trauma - Positive FAST - Pelvis Transverse
Caption
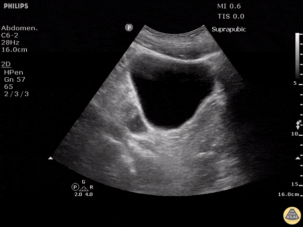
Blunt trauma patient with POSITIVE FAST scan. Free fluid can be seen posterior and lateral to the bladder in this sagittal view. Dr. Justin Bowra
Blunt trauma patient with POSITIVE FAST scan. Free fluid can be seen posterior and lateral to the bladder in this sagittal view. Dr. Justin Bowra