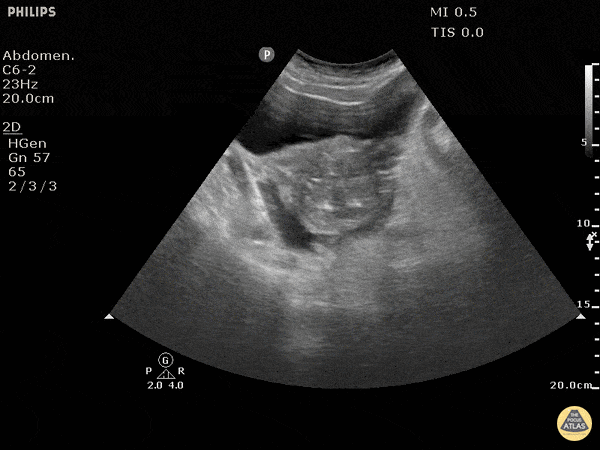
Trauma - Positive FAST Pelvis - Transverse

← Back to List

Trauma - Positive FAST Pelvis - Transverse

Caption

Blunt trauma patient with POSITIVE FAST scan. The uterus can been seen floating in free fluid. Dr. Justin Bowra

Source

https://www.thepocusatlas.com/trauma


Metadata