Trauma - Positive FAST - LUQ
Caption
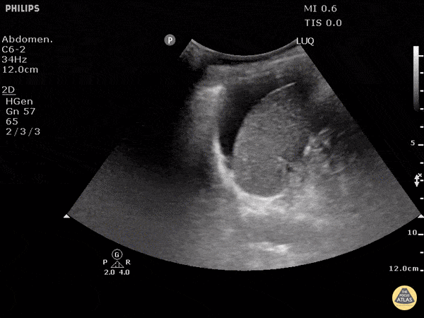
Blunt trauma patient with POSITIVE FAST scan. Free fluid can be seen between the spleen and the diaphragm in this LUQ view. Dr. Justin Bowra
Blunt trauma patient with POSITIVE FAST scan. Free fluid can be seen between the spleen and the diaphragm in this LUQ view. Dr. Justin Bowra