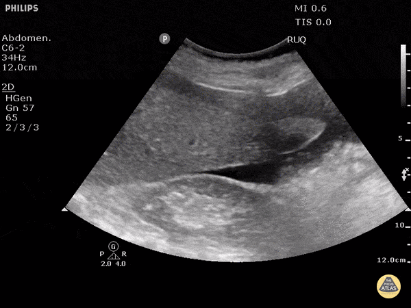
Trauma - Positive FAST - RUQ - Morison's Pouch

← Back to List

Trauma - Positive FAST - RUQ - Morison's Pouch

Caption

Blunt trauma patient with POSITIVE FAST scan. The liver can been seen floating in free fluid with the kidney posteriorly. The fluid is in Morison's pouch. Be sure to visualize the tip of the liver to complete the evaluation. Dr. Justin Bowra

Source

https://www.thepocusatlas.com/trauma


Metadata