Trauma - Free Fluid in Morrison's Pouch

← Back to List

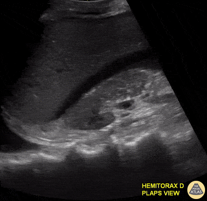
Trauma - Free Fluid in Morrison's Pouch

Caption

This 30-year-old male was brought to our ED after a fall from scaffolding with evidence of trauma to his right thoracoabdominal region. E-FAST performed in the RUQ revealed both the presence of free fluid within Morrison's pouch and an ipsilateral hemothorax. Appreciate the presence of “spine sign” as an additional ultrasonographic indicator of free fluid within the pleural space. Renato Tambelli, Emergency Physician Hospital das Clínicas de Marília, Brazil. @R_Tambelli // @JediPocus

Source

https://www.thepocusatlas.com/trauma


Metadata