Bowel-GI - Complex Ascites

← Back to List

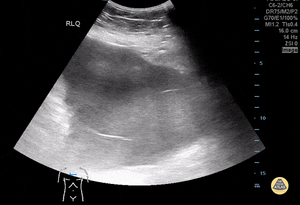
Bowel-GI - Complex Ascites

Caption

A 70 year old male with history of pancreatic cancer presented with abdominal distention. POC US demonstrated complex ascites. As seen in this clip, complex ascites (such as from malignancy) often demonstrates loculations as well as layering due to dense particulate (exudative ascites) within the fluid. Mario Corro, MD, PGY-3 Staten Island University Hospital

Source

https://www.thepocusatlas.com/bowel


Metadata