Trauma - Retroperitoneal Hematoma

← Back to List

Trauma - Retroperitoneal Hematoma

Caption

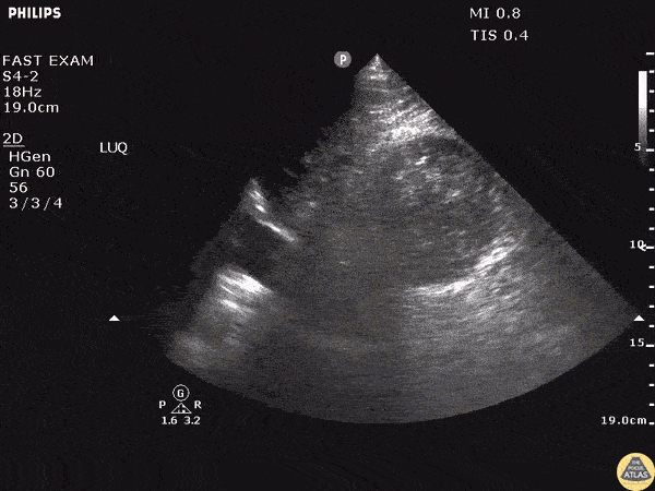
A young male presented to the ED following a 20 foot fall. He presented with LUQ pain, left flank pain, and soft vitals. FAST exam showed no fluid in Morison’s pouch or in the pelvis but revealed a large, left-sided, retroperitoneal hematoma noted by the distortion of the left kidney. Image courtesy of Robert Jones DO, FACEP @RJonesSonoEM Director, Emergency Ultrasound; MetroHealth Medical Center; Professor, Case Western Reserve Medical School, Cleveland, OH View his original post here

Source

https://www.thepocusatlas.com/trauma


Metadata