Trauma - Adrenal Hematoma

← Back to List

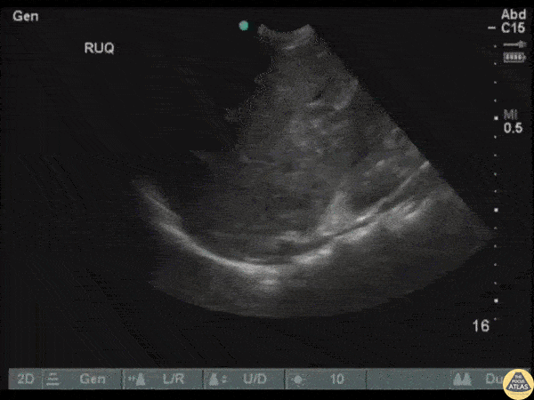
Trauma - Adrenal Hematoma

Caption

An adult male presented to the ED following a MVC with a fractured femur, right sided flank pain, and transient hypotension. FAST exam revealed an isoechoic, oval structure just cephalad to the right kidney indicative of an adrenal hemorrhage/hematoma. Image courtesy of Robert Jones DO, FACEP @RJonesSonoEM Director, Emergency Ultrasound; MetroHealth Medical Center; Professor, Case Western Reserve Medical School, Cleveland, OH View his original post here

Source

https://www.thepocusatlas.com/trauma


Metadata