Trauma - Positive LUQ View

← Back to List

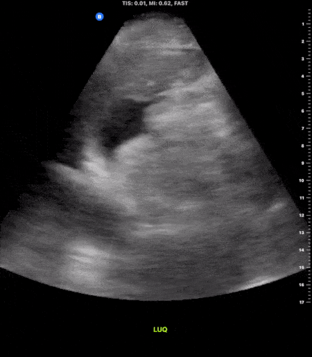
Trauma - Positive LUQ View

Caption

This image demonstrates free fluid present in the left upper quadrant following blunt trauma to the abdomen. Notice the anechoic area present along the the pericolic gutter as well as between the spleen and the diaphragm consistent with free fluid. Michael Macias, MD

Source

https://www.thepocusatlas.com/trauma


Metadata