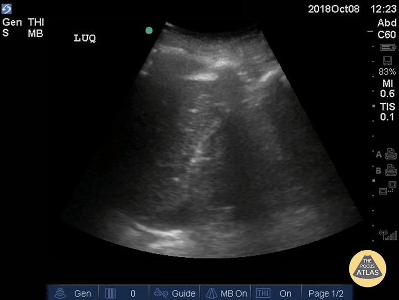
Trauma - Subtle Positive FAST - LUQ
Caption
Positive FAST exam demonstrating free fluid in the left upper quadrant. Spontaneous hemoperitoneum in an anticoagulated patient with a left ventricular assist device (LVAD). Dr. Elias Jaffa, MD
Positive FAST exam demonstrating free fluid in the left upper quadrant. Spontaneous hemoperitoneum in an anticoagulated patient with a left ventricular assist device (LVAD). Dr. Elias Jaffa, MD