Trauma - Gunshot Wound Foreign Body

← Back to List

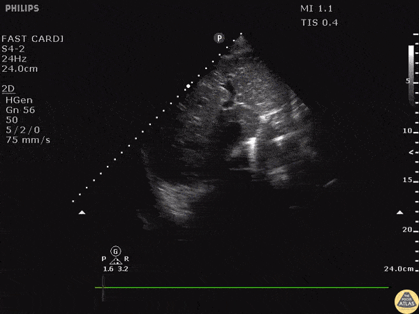
Trauma - Gunshot Wound Foreign Body

Caption

Subcostal window in a patient with a gunshot wound revealed a hyperechoic structure with strong comet tail reverberation artifact. These findings are consistent with a metallic foreign body, such as a retained bullet in this patient. Visit the original post for a labelled image. Image courtesy of Robert Jones DO, FACEP @RJonesSonoEM Director, Emergency Ultrasound; MetroHealth Medical Center; Professor, Case Western Reserve Medical School, Cleveland, OH View his original post here

Source

https://www.thepocusatlas.com/trauma


Metadata