Trauma - Positive FAST

← Back to List

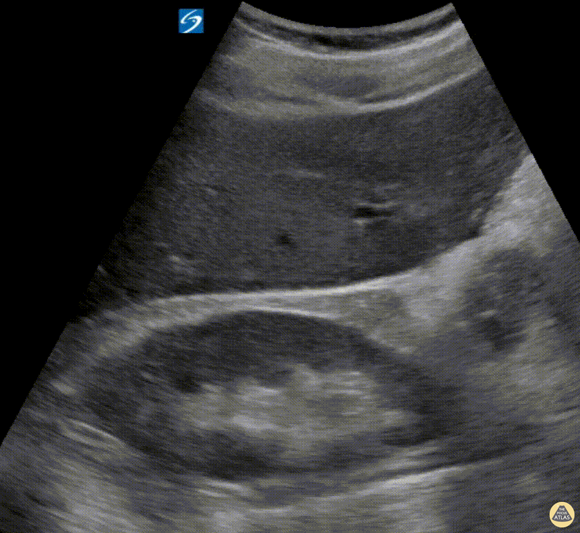
Trauma - Positive FAST

Caption

Seen here is a subtle positive RUQ FAST scan in a trauma patient — a pertinent reminder to never stop simply after evaluating Morison's Pouch. Always also trace anteriorly to the lowest part of the liver. Hjalti Már Björnsson @hjaltimb

Source

https://www.thepocusatlas.com/trauma


Metadata