Trauma - Hepatic Laceration

← Back to List

Trauma - Hepatic Laceration

Caption

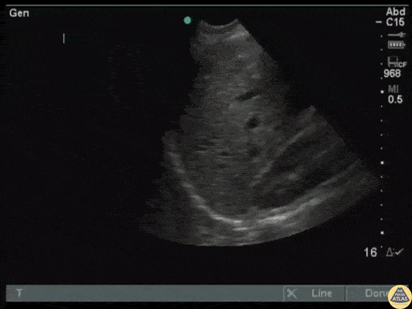
Seen in the superficial region of the liver is an easy to miss hepatic laceration. Ultrasound has a low specificity for detecting solid organ lacerations. Diagnosis was confirmed via CT. Image courtesy of Robert Jones DO, FACEP @RJonesSonoEM Director, Emergency Ultrasound; MetroHealth Medical Center; Professor, Case Western Reserve Medical School, Cleveland, OH View his original post here

Source

https://www.thepocusatlas.com/trauma


Metadata