Trauma - RUQ Free Fluid

← Back to List

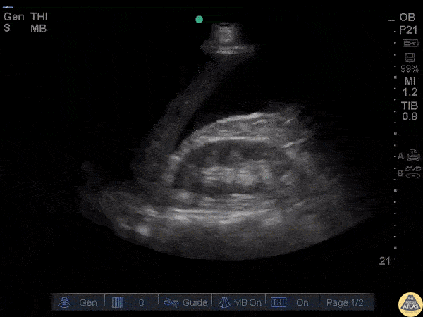
Trauma - RUQ Free Fluid

Caption

A patient presented with LUQ trauma but the perisplenic window was negative for free fluid. Morison’s pouch was positive for free fluid emphasizing the importance of scanning all regions for free fluid in trauma. Image courtesy of Robert Jones DO, FACEP @RJonesSonoEM Director, Emergency Ultrasound; MetroHealth Medical Center; Professor, Case Western Reserve Medical School, Cleveland, OH View his original post here

Source

https://www.thepocusatlas.com/trauma


Metadata