Trauma - Splenic Rupture

← Back to List

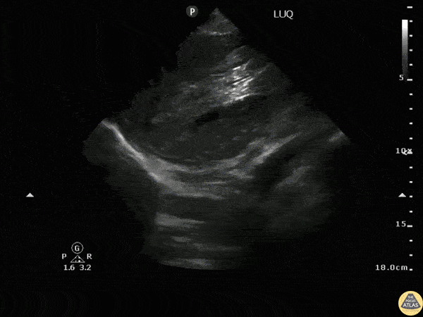
Trauma - Splenic Rupture

Caption

Positive eFAST exam in a blunt trauma patient reveals abnormal splenic architecture and perisplenic fluid. Image courtesy of Robert Jones DO, FACEP @RJonesSonoEM Director, Emergency Ultrasound; MetroHealth Medical Center; Professor, Case Western Reserve Medical School, Cleveland, OH View his original post here

Source

https://www.thepocusatlas.com/trauma


Metadata