Trauma - Hemoperitoneum

← Back to List

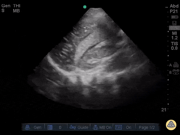
Trauma - Hemoperitoneum

Caption

This clip was obtained in a patient presenting after a fall from roof. This hepatic window demonstrates an echogenic clot surrounded by a thin sliver of anechoic free fluid. This patient had massive acute hemoperitoneum. Remember that not all acute hemorrhage is anechoic! Image courtesy of Robert Jones DO, FACEP @RJonesSonoEM Director, Emergency Ultrasound; MetroHealth Medical Center; Professor, Case Western Reserve Medical School, Cleveland, OH View his original post here

Source

https://www.thepocusatlas.com/trauma


Metadata