Trauma - Subcapsular Splenic Hematoma

← Back to List

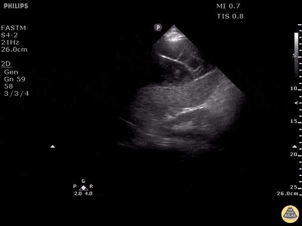
Trauma - Subcapsular Splenic Hematoma

Caption

This is a clip of the LUQ performed during FAST exam following blunt trauma. It demonstrates loculated fluid around the spleen concerning for blood. CT imaging followed demonstrating a large subcapsular splenic hematoma. Image courtesy of Robert Jones DO, FACEP @RJonesSonoEM Director, Emergency Ultrasound; MetroHealth Medical Center; Professor, Case Western Reserve Medical School, Cleveland, OH View his original post here

Source

https://www.thepocusatlas.com/trauma


Metadata