Trauma - Hemoperotineum Or Not?

← Back to List

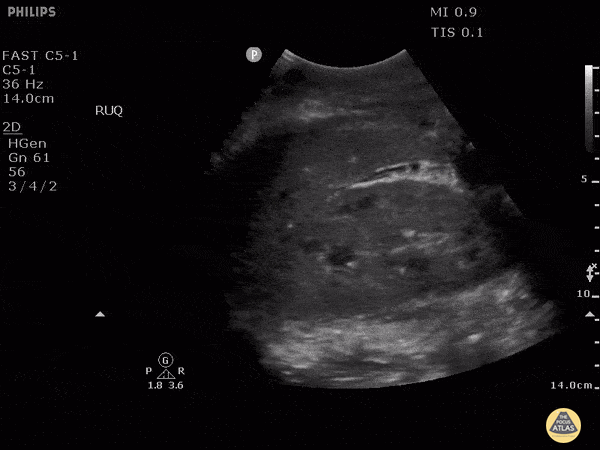
Trauma - Hemoperotineum Or Not?

Caption

This is RUQ view from a patient who presented to the emergency department after falling from a roof and with low blood pressures. Although there appears to be perihepatic fluid, an interesting learning point form this case is whether or not we can discern if fluid observed is truly in the retroperotineal space or in the peritoneal cavity. Because the fluid is in direct contact with perinephric fat, this is actually in the retroperitoneal space and not in the peritoneal cavity. This may be difficult to distinguish in patients with very little perinephric fat. Image courtesy of Robert Jones DO, FACEP @RJonesSonoEM Director, Emergency Ultrasound; MetroHealth Medical Center; Professor, Case Western Reserve Medical School, Cleveland, OH View his original post here

Source

https://www.thepocusatlas.com/trauma


Metadata