Trauma - Pleural and Peritoneal Fluid in EFAST Exam
Caption
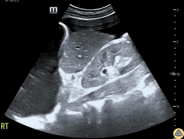
Patient presented to the emergency department with atraumatic acute onset of shortness of breath. An EFAST was performed to evaluate for pneumothorax and assess for free fluid in the abdomen, thorax, and pericardium. A significant right pleural effusion was present. Additionally, US of RUQ demonstrated a liver which appeared small in size with prominent ascites. This demonstrates the utility of POCUS to identify free fluid in a quick and efficient manner as compared to other common studies such as a CT scan, even in non-traumatic patients. Contributors: Lauren Lowes, DO; Krishna Patel, DO; Julia Tu, MS-4 Central Michigan University Residency of Emergency Medicine