Musculoskeletal - Psoas Abscess
Caption
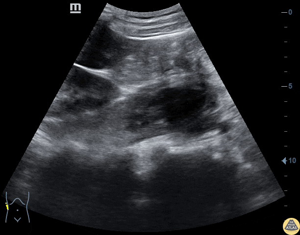
HIV+ male presents with flank pain and weight loss. Abdominal US demonstrates a psoas abscess inferior to the right kidney. Contributor: Niƫl van Hoving
HIV+ male presents with flank pain and weight loss. Abdominal US demonstrates a psoas abscess inferior to the right kidney. Contributor: Niƫl van Hoving