Musculoskeletal - Flexor Tenosynovitis

← Back to List

Musculoskeletal - Flexor Tenosynovitis

Caption

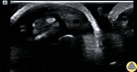
30s M with PMH IVDU presented with worsening swelling over his middle finger and hand. His clinical exam was concerning for flexor tenosynovitis, so a water bath POCUS was performed to evaluate his flexor tendon sheath. The study is shown here, where the middle finger is shown first in short axis and then in long axis. The flexor tendon is seen as the relatively hyperechoic structure just superficial to the bony cortex, and has a fibrillar appearance when seen in long axis. This clip demonstrates anechoic fluid within the sheath surrounding the flexor tendon, which in this clinical context is diagnostic of flexor tenosynovitis, a surgical emergency. This patient was given IV antibiotics and was taken to the operating room for I&D and washout of his hand. Dr. Brigit Noon, PGY3 Denver Health Residency in Emergency Medicine

Source

https://www.thepocusatlas.com/softtissue-msk


Metadata