Musculoskeletal - Fingertip Felon

← Back to List

Musculoskeletal - Fingertip Felon

Caption

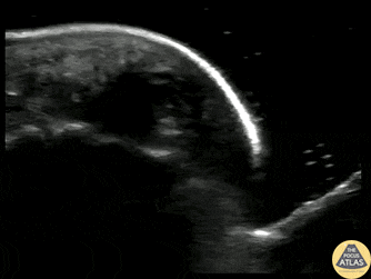
40s M who works as a carpenter presented with finger pain and swelling 10 days after he injured his finger when a heavy object fell on it. He sought medical care on the day of the injury and had radiographs which were negative for fracture, and there was no visible wound initially. On this visit, he was noted to have focal erythema and edema to his distal phalanx. POCUS was performed to evaluate for abscess and flexor tenosynovitis. To improve visualization, a water bath was used. The finger tip is shown here, with a small circumscribed area of hypoechoic fluid at the distal phalanx, indicative of a felon. Incision and drainage was performed and the patient was discharged on oral antibiotics and with plan for PCP follow up. Nayun Lee, MS3 Dr. Molly Thiessen Denver Health Medical Center

Source

https://www.thepocusatlas.com/softtissue-msk


Metadata