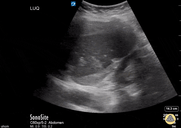
Bowel-GI - Perisplenic Hematoma

← Back to List

Bowel-GI - Perisplenic Hematoma

Caption

This clip is from a patient presenting with sudden onset epigastric pain with syncope. The patient had an additional episode of syncope in the ED and remained persistently hypotensive. The aorta was evaluated and was non-aneurysmal, however during FAST exam the LUQ view demonstrated a perisplenic hematoma and free fluid was also noted in Morrison’s pouch (RUQ view not shown). CT of the abdomen/pelvis later confirmed spontaneous splenic rupture. Nishant Cherian

Source

https://www.thepocusatlas.com/bowel


Metadata