Musculoskeletal - Anterior Shoulder Dislocation

← Back to List

Musculoskeletal - Anterior Shoulder Dislocation

Caption

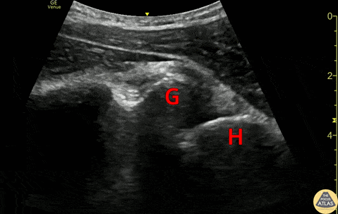
20s M with history of recurrent shoulder dislocations presented with pain and a deformity after being transferred from an urgent care after multiple failed attempts at closed reduction. POCUS confirmed dislocation at the bedside. The clip shown here is a posterior view of glenohumeral joint, illustrating the anterior displacement of the humeral head (H) in relation to the glenoid rim (G). A humeral head which is more than 1 to 1.5 cm anterior to the glenoid rim should be concerning for anterior dislocation (PMID 32111508). In this case, it is easy to see that the humeral head is almost 2cm anterior to the glenoid rim. After placement of an US guided interscalene nerve block, this patient was able to be reduced without difficulty. Dr. Anthony Rodriguez, PGY1 Denver Health Residency in Emergency Medicine Dr. Nimish Bhatt, Fellow Denver Health Ultrasound Fellowship

Source

https://www.thepocusatlas.com/softtissue-msk


Metadata