Musculoskeletal - Arthrocentesis of Knee Effusion

← Back to List

Musculoskeletal - Arthrocentesis of Knee Effusion

Caption

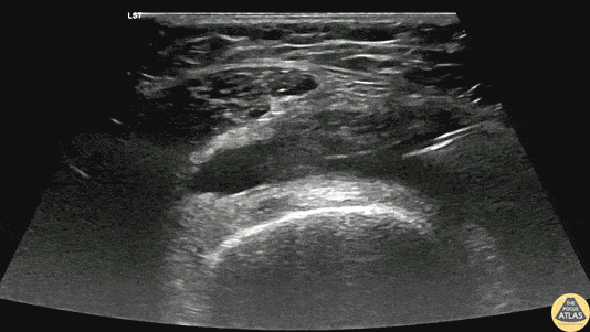
40s F with prior history of contralateral trimalleolar ankle fracture s/p multiple surgeries presents 1 month of knee swelling and pain after starting levofloxacin. The symptomatic knee appeared swollen without warmth or erythema, ROM was preserved, and the patient was ambulatory. Point of care US demonstrated an effusion around the knee, so diagnostic and therapeutic arthrocentesis was performed as shown here. The linear probe was used in a transverse orientation just superior to the patella to view the suprapatellar bursa just deep to the quadriceps tendon. Using sterile technique, a needle was advanced under real-time, in-plane US guidance to enter the bursa and aspirate synovial fluid. Ultimately the patient did not have septic arthritis and was discharged with a compressive knee wrap with a plan for orthopedic surgery follow up. Dr. Caleb Knight, PGY-2 Denver Health Residency in Emergency Medicine

Source

https://www.thepocusatlas.com/softtissue-msk


Metadata