Musculoskeletal - Subscapularis Tendon Tear

← Back to List

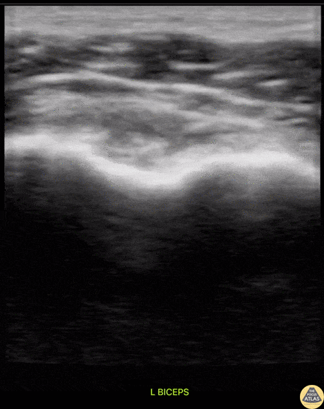
Musculoskeletal - Subscapularis Tendon Tear

Caption

A middle aged male presented to the ED with shoulder pain after skiing crash. POCUS of the shoulder was performed, showing a subscapularis tendon tear. Here, the proximal humerus is shown in short axis, with the linear probe placed in transverse orientation at the anterior aspect of the shoulder. The biceps tendon is seen in the biceps groove, between the greater tuberosity (lateral or right of screen) and lesser tuberosity (medial or left of screen). The patient is asked to externally rotate the arm, which brings the subscapularis tendon into view, and a hypoechoic, thickened area is seen, indicating a tendon tear. Dr. Matthew Riscinti Denver Health Medical Center

Source

https://www.thepocusatlas.com/softtissue-msk


Metadata