Musculoskeletal - MCL Bursitis

← Back to List

Musculoskeletal - MCL Bursitis

Caption

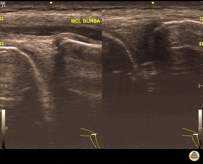
29 year-old elite level soccer player with medial knee pain. He describes this being 'the worst episode ever', as he was having recurrent episodes of such pain. Valgus and flexion deformity due to prior surgery 15 years ago at the affected knee. Sharp, non-radiating pain 9/10 on NPRS, wakes him up at night. Palpation of medial knee and valgus stress test positive. Concomitant recent trauma. Unable to train/compete. USG of his knee revealed both MCL insertional edema (grade 1 injury) and MCL bursitis. Guided aspiration (3cc) and corticosteroid injection to MCL bursae revealed excellent outcomes. He returned to play 3 days later. Pitfall: It was not an MCL injury. Key point : Intervention was necessary and US-guidance allowed correct needle positioning without complication. Dr. Omer Batin Gozubuyuk, Sports Medicine Specialist, Istanbul University, Istanbul, Turkey.

Source

https://www.thepocusatlas.com/softtissue-msk


Metadata