Bowel-GI - The Keyboard Sign

← Back to List

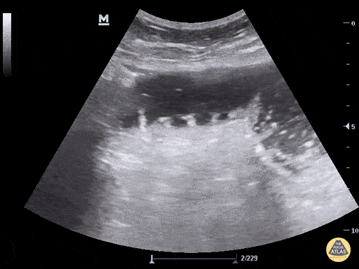
Bowel-GI - The Keyboard Sign

Caption

A patient presented to the emergency department with one day of constipation and abdominal distention. A bedside ultrasound was performed showing dilated bowel, to-and-fro peristalsis, and keyboard sign (plicae circulares). Low-grade SBO with transition point found on follow up CT. Aaron Inouye @PAintheED

Source

https://www.thepocusatlas.com/bowel


Metadata