Musculoskeletal - Thumb Fracture

← Back to List

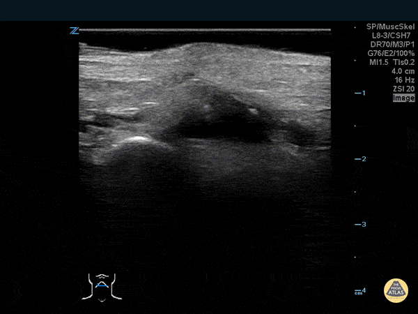
Musculoskeletal - Thumb Fracture

Caption

30 year-old male ED resident who injured his thumb at some point while playing football versus the attendings in the annual flag football game. He figured the thumb had merely been sprained, and he kept playing in the game (and scoring touchdowns) while the residents dominated. Two days later the swelling/ecchymoses seemed to worsen, he used the linear transducer in a water bath to diagnose a fracture of the base of the 1st metacarpal. An x-ray confirmed the diagnosis, and he underwent percutaneous pinning in the operation room the following week. Dr. Stephen Alerhand, Mt Sinai Hospital, NYC

Source

https://www.thepocusatlas.com/softtissue-msk


Metadata